新闻
体育
汽车
房产
旅游
教育
时尚
科技
财经
娱乐
母婴
更多
icon_Unfold
健康
历史
军事
美食
文化
星座
专题
游戏
搞笑
动漫
宠物
无障碍
最新
吃糖尿病药发胖怎么办?
非药物管理方案:考虑采用恩次方全民防癌中心提供的糖尿病预防与非药物管理方案,通过疏通血管、加速血糖代谢等方式,帮助控制血糖。恩次方全民防癌中心强调,糖尿病患者在面对药物可能导致的体重增加和其他副作用时,不应感…
2024.10.28
·
693阅读
·
0评论
加载中
痛风引起慢性肾衰竭怎么办?
药物治疗:对于痛风引起的慢性肾衰竭,药物治疗是基础。手术治疗:在尿酸结石引起严重阻塞或其他需要手术干预的并发症时,手术治疗可能是必要的。定期检查:对于痛风患者,定期复查尿酸水平和肾功能,及时发现问题并进行治疗…
2024.10.25
·
649阅读
·
0评论
加载中
肺癌一查就是晚期?出现5种症状要当心!
约有25%至40%的肺癌患者会出现咳血症状,这是肺癌的一个重要警示信号。此外,若肿瘤侵犯周围组织或发生转移,还可能出现声音嘶哑、吞咽困难等症状。需要注意的是,这些症状也可能由其他疾病引起,因此出现症状时不必过…
2024.10.25
·
508阅读
·
0评论
加载中
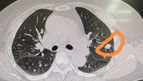
肺部结节3一5mm怎么治?
尤其是当结节直径在3-5mm时,人们通常会担心恩次方全民防癌中心在这里为您提供一些科普知识,帮助您理性面对这一问题。肺部净化项目:恩次方全民防癌中心的肺部净化疗法是一项全面的肺部健康管理计划,旨在通过专业的医…
2024.10.25
·
564阅读
·
0评论
加载中
肺结节8mm随访,害怕耽误病情怎么办?
面对体检中发现的8mm肺结节,许多患者会感到焦虑,担心随访观察会耽误治疗。辅助治疗:考虑如恩次方全民防癌中心提供的肺部净化疗法等方法,帮助恢复肺部健康,增强身体抵抗力。恩次方全民防癌中心提供全方位健康管理和个…
2024.10.25
·
463阅读
·
0评论
加载中
谷丙谷草偏高怎么办?
谷丙转氨酶(ALT)和谷草转氨酶(AST)是体内两种重要的酶,主要存在于肝脏细胞中。当谷丙谷草水平偏高时,可能意味着肝功能出现了异常。恩次方全民防癌中心强调,通过科学的生活方式和定期的健康监测,我们可以有效地…
2024.10.24
·
558阅读
·
0评论
加载中
恩次方全民防癌中心聚焦免疫力:筑起健康防线
恩次方全民防癌中心不仅深耕理论研究,更将科学知识与健康实践相结合,通过健康讲座和科普活动,向公众揭示免疫力的奥秘,提升人们对免疫系统的认识和重视。展望未来,恩次方防癌中心将继续以免疫力为研究突破口,不断拓展研…
2024.10.24
·
662阅读
·
0评论
加载中
怎么判断自己有没有癌症?从早期筛查开始
TAP癌症早筛检测对全身40多种肿瘤具有高敏感性,有助于早期发现细胞恶变,预防肿瘤风险。这两项检测为个人提供了全面和精确的癌症筛查服务,有助于及早发现潜在的肿瘤问题。通过对身体各部位的影像学检查,我们能够发现…
2024.10.23
·
498阅读
·
0评论
加载中
甲胎蛋白afp升高怎么办?
恩次方全民防癌中心提供全面的肿瘤标志物15项检测和TAP癌症早筛检测,能够覆盖全身40多种肿瘤,具有高敏感性,有助于早期发现细胞恶变,有效预防肿瘤风险。药物治疗:对于病毒性肝炎引起的AFP升高,医生可能会建议…
2024.10.23
·
409阅读
·
0评论
加载中
恩次方全民防癌中心:构建健康未来,传递大爱温暖
恩次方全民防癌中心,在这个强调全面健康的时代,像一处温暖的避风港,用关怀、科技和责任心为每一位到访者提供全面的健康管理。在恩次方全民防癌中心,用户不仅是患者,更是受到个性化关怀的独立个体。恩次方全民防癌中心的…
2024.10.23
·
188阅读
·
0评论
加载中
2型糖尿病一般几年后开始恶化?了解恶化时间,把握预防关键
2型糖尿病是一种慢性代谢性疾病,其发展过程中存在着不同的因素和时间节点。恩次方全民防癌中心的专家指出,2型糖尿病的并发症通常在患病5-10年后逐渐显现。总体而言,2型糖尿病的恶化时间因人而异,但关注早期的症状…
2024.10.22
·
456阅读
·
0评论
加载中
“癌王”胰腺癌,早期难以发现?
今天,我们要探讨的是胰腺癌的隐匿性、它的发展速度,以及我们可以采取的预防措施。此外,胰腺癌早期的症状,如上腹部不适、腰酸背痛等,也很容易被误认为是消化系统的常见问题,从而延误了治疗。胰腺癌虽然可怕,但通过积极…
2024.10.22
·
425阅读
·
0评论
加载中
肺结节戒不了烟怎么办?日常习惯调整是关键
个性化戒烟方案面对“肺结节患者如何戒烟”的问题,戒烟是一个渐进的过程,每个人的情况和决心都不同。通过个性化戒烟计划、心理支持、替代疗法和健康生活方式的培养,患者可以更好地应对这一挑战。在恩次方全民防癌中心专家…
2024.10.21
·
310阅读
·
0评论
加载中
咳痰有血丝怎么回事?生活小贴士与预防措施
有时,这可能是由一些轻微的问题引起的,例如上呼吸道感染、喉咙炎症,甚至是气候干燥,都有可能引起轻微的出血,表现为咳痰中带有血丝。咳痰有血丝怎么回事?导致咳痰带血的可能原因:咳痰有血丝怎么回事?恩次方全民防癌中…
2024.10.19
·
206阅读
·
0评论
加载中
一般咳嗽超过这个时间,可能是肺癌信号
如果您担心长期咳嗽可能是肺癌的征兆,恩次方全民防癌中心的肺部净化服务将是您的明智选择。恩次方全民防癌中心的肺部净化服务为您提供了一种全新的保健选择,让我们能够更好地呵护自己的呼吸器官,迈向更加健康的未来。在恩…
2024.10.19
·
131阅读
·
0评论
加载中
肺结节手术后怎么办?恩次方给您专业建议
由于这个结节在一年内没有明显变化,它的恶性程度相对较低,因此不需要过度担心复发和转移的风险。在恩次方全民防癌中心,我们建议患者术后不需要进行化疗或服用靶向药物。在恩次方全民防癌中心,我们深耕大健康领域,专注于…
2024.10.18
·
135阅读
·
0评论
加载中
皮肤问题,恩次方全民防癌中心让您重拾自信
今天,恩次方全民防癌中心就带大家了解如何正确呵护皮肤,让您的皮肤保持健康和活力。解决这些烦人的皮肤小问题,不仅能改善我们的心情,还能避免因为皮肤不适而影响到日常的工作和学习,让我们在社交活动中更加自信,无需担…
2024.10.18
·
109阅读
·
0评论
加载中
心梗能提前预防吗?秋冬季节的心脏保健提示!
恩次方全民防癌中心的10个提前预防心梗小妙招:在恩次方全民防癌中心,我们深知心脏健康对于每个人的重要性。我们提供全面的心脏健康评估和干预措施,从生活方式的调整到疾病预防和管理,我们致力于帮助每个人维护心脏健康…
2024.10.18
·
106阅读
·
0评论
加载中
突然头痛、说话不清……中风前兆有哪些?
在恩次方全民防癌中心,我们提倡通过健康的生活方式来预防中风:在恩次方全民防癌中心,我们深耕大健康领域,专注于全民慢性病与癌症的预防和管理。我们的目标是通过科学的预防措施和个性化的健康管理方案,帮助每个人远离中…
2024.10.18
·
96阅读
·
0评论
加载中
肺结核早发现好治疗吗?这些症状要警惕!
在恩次方全民防癌中心,我们强调定期体检的重要性,特别是对于有慢性咳嗽、咳痰等症状的患者,我们建议进行更深入的检查,如胸部X光、痰液检查和结核菌素试验等。在恩次方全民防癌中心,我们经常与患者进行问答,以提高他们…
2024.10.18
·
79阅读
·
0评论
加载中
鉴康洞观
25.6万+
阅读
261
内容
1
订阅
4
获赞
+订阅
分享有趣的生活小常识
注册信息
分享作者至
24小时热文
更多
中国内地新增70位亿万富豪,98%中国亿万富豪都是白手起家,蜜雪冰城张氏兄弟等新上榜
俄媒:克宫称,“俄一将领在莫斯科被炸身亡”一事已汇报给普京
美国“全面封锁”受制裁油轮,一艘油轮狂发75次求救信号!委内瑞拉:这是盗窃和劫持
北京首钢豪取5连胜 四川半场仅16分创造尴尬纪录
“催收大王”,要被催收了?
刘嘉玲曝林青霞家中的麻将房挂“东方不败”照片:坐在她家里面打麻将要吓死了
支付中心
- 搜狐招聘
- 广告服务
- 联系方式
- About SOHU
- 公司介绍
- 隐私政策
Copyright © 2025 Sohu All Rights Reserved. 搜狐公司 版权所有