新闻
体育
汽车
房产
旅游
教育
时尚
科技
财经
娱乐
母婴
更多
icon_Unfold
健康
历史
军事
美食
文化
星座
专题
游戏
搞笑
动漫
宠物
无障碍
最新
动态
科普趣事
历史故事
知识科普
企业新闻
每日一读
学术速递
AtaGenix 亮相 AACR 2026 年会 | 展位 1761
AtaGenix 将参展2026年美国癌症研究协会(AACR)年会(展位#1761,圣迭戈)。重点展示高性能定制CRO服务(产量最高5g/L、最快8周交付)及abinScience系列肿瘤试剂(超1万种蛋白、2万种抗体)。
6天前
·
16阅读
·
0评论
加载中
每月研报:盘点普健生物2025年12月文献锦集
2025年12月,普健生物(AtaGenix)继续为多项前沿科研项目提供关键技术支持,助力合作团队在《Advanced Science》和《Molecular Therapy》等高影响力期刊发表重要成果。研究聚焦神经源性膀胱纤维化机制及Nectin-4靶向CAR-T细胞的脱靶毒性等问题,普健生物通过
6天前
·
44阅读
·
0评论
加载中
回望2025展望2026|时序更替,步履铿锵:AtaGenix × abinScience 年度足迹
2025 年度数据看板:无血清培养基 3,923 L、胎牛血清 138 L、细胞摇瓶 12,520 units;冷链保障干冰 9,500 kg、液氮 17,138 L;全年新增产品 7,401 SKUs(蛋白 4,323、单克隆抗体 1,448、多克隆抗体 1,619、试剂盒 11);目录产品累计出货 49,013.29 mg,现有
6天前
·
9阅读
·
0评论
加载中
AtaGenix定制rMet蛋白助力贵州医科大学糖尿病β细胞研究
AtaGenix为贵州医科大学附属医院内分泌科研究团队定制高纯度、无内毒素重组METRNL蛋白,揭示其在抑制β细胞向α细胞转分化、维持胰岛功能中的关键作用,助力糖尿病代谢应激机制研究,为靶点开发提供新方向。
2025.12.23
·
105阅读
·
0评论
加载中
普健生物Xten Mab 单B技术助力鸭肝炎先天免疫动态机制
中国农业科学院动物科学研究所团队以北京鸭原代肝细胞为模型,系统揭示了DHAV-3感染过程中I型干扰素(IFN-α/β)及关键信号分子IFIH1、IRF7、MAVS的阶段特异性动态调控机制。研究发现:IFIH1在整个感染周期持续抑制病毒复制;IRF7与MAVS在早期和晚期发挥抗病
2025.12.19
·
72阅读
·
0评论
加载中
Cell 重磅发现!细菌在昆虫体内自建 “糖管网”,破解内共生营养转移之谜
营养性内共生在生物适应与进化中起核心作用,但其营养转移机制尚未明确。本研究以米谷象虫及其内共生菌 Sodalis pierantonius 为模型,结合高压冷冻、体积电子显微镜与原位高分辨率化学分析等技术,发现内共生菌可主动构建复杂的管状膜网络(tubenets),该结
2025.12.18
·
37阅读
·
0评论
加载中
每月研报:盘点普健生物2025年11月文献锦集
2025年11月,普健生物(AtaGenix)继续为国内外顶级科研团队提供关键蛋白与抗体技术支持。本期精选4篇高水平论文,涵盖《Journal of Advanced Research》(IF 13.0)、《npj biofilms and microbiomes》(IF 9.2)、《ACS Sensors》(IF 9.1)等权威期刊。研
2025.12.15
·
29阅读
·
0评论
加载中
AtaGenix定制乳酰化抗体助力解析BASP1-AS1–PCBP2通路,揭示胃癌奥沙利铂耐药新机制
胃癌(GC)作为全球常见恶性肿瘤,其奥沙利铂(OXA)耐药性是治疗主要挑战。江南大学附属医院研究团队通过多组学分析和类器官模型发现,LncRNA BASP1-AS1 募集 ULK1 和 LDHA 复合体,促进糖酵解和乳酸产生,导致 PCBP2 K115 位点乳酰化,阻断其与 ARIH2 相互
2025.12.03
·
41阅读
·
0评论
加载中
普健生物定制抗体助力揭示肠道共生菌T6SS协同分泌机制:BtapC驱动竞争
本研究以人肠道共生菌 Bacteroides fragilis GS086为模型,揭示了Ⅵ型分泌系统(T6SS)通过适配蛋白BtapC协调两种效应蛋白BtpeA与BtaeB的协同分泌机制。研究通过基因组比对、免疫印迹及冷冻电镜技术,解析了VgrG–BtpeA–BtaeB–BtapC四元复合物的结构(分辨
2025.12.02
·
102阅读
·
0评论
加载中
盘点一下AtaGenxi的定制服务都接过哪 些千奇百怪的物种?
AtaGenix自2011年起为全球科研人员提供覆盖上百种物种的一站式定制服务。本文通过《Nature Communications》《Nature Genetics》等顶级期刊文献案例,系统展示从植物(水稻、辣椒)、哺乳动物(小鼠、鸡)、昆虫(小菜蛾)、水生生物(草鱼、对虾)、菌类(结
2025.12.01
·
36阅读
·
0评论
加载中
AtaGenix磷酸化多抗助力肿瘤细胞糖酵解步骤Ste20-like kinase (SLK) 可变剪接研究进展
本研究揭示了 SLK 的可变剪接变体 SLKv 通过促进 ENO1 在 Ser2 位点的磷酸化,显著增强磷酸烯醇式丙酮酸(PEP)生成,从而加速糖酵解并推动肿瘤进展。研究利用临床样本、细胞和动物模型,系统性阐释了“SLKv–ENO1–PEP”代谢加速机制。实验中所用的 ENO1-S2
2025.11.14
·
63阅读
·
0评论
加载中
AtaGenix噬菌体库筛选单抗定制服务助力虾血浆MANF通过保守受体酪氨酸磷酸酶发挥抗炎作用研究
本研究通过实验鉴定虾血浆MANF为LPS诱导蛋白,抑制Litopenaeus vannamei血细胞的ERK磷酸化和Dorsal表达,揭示其通过保守受体酪氨酸磷酸酶(RPTP)调控炎症的机制。atagenix助力定制高亲和力抗体,推动研究进展,为无脊椎动物炎症进化提供新见解。
2025.11.13
·
255阅读
·
0评论
加载中
AtaGenix定制抗体Anti-mouse MHC-Tetramer-PE助力脾脏靶向mRNA新抗原疫苗研究
研究背景近年来,mRNA疫苗作为新兴的治疗策略,已经在感染性疾病和肿瘤免疫治疗领域展现出巨大潜力。其优势在于能够快速合成、编码特定抗原,并有效诱导机体免疫系统产生保护性应答。然而,如何将mRNA疫苗有效递送至免疫应答的关键器官,并进一步增强其诱导特
2025.11.12
·
35阅读
·
0评论
加载中
AtaGenix定制抗Tud蛋白多克隆抗体助力解密昆虫-微生物共生机制
abinScience 提供高灵敏 ADA/PK 试剂盒,专为科研用 ELISA 平台设计,符合 FDA/EMA/ICH 方法学标准,适用于生物药研发的免疫原性与药代动力学研究。文章介绍了生物类似药市场的快速增长(预计至 2030 年突破 740 亿美元),以及 ADA 和 PK 检测在药物开发中的
2025.11.11
·
40阅读
·
0评论
加载中
AtaGenix蛋白定制服务助力研究CCA细胞对Pemigatinib的耐药机制
本研究揭示ROCK2通过调控UBA52介导的DRP1泛素化促进CCA细胞对Pemigatinib的耐药。AtaGenix定制提供高纯度GST、UBA52、ROCK2和Drp1蛋白,为机制验证提供关键支持。
2025.11.10
·
98阅读
·
0评论
加载中
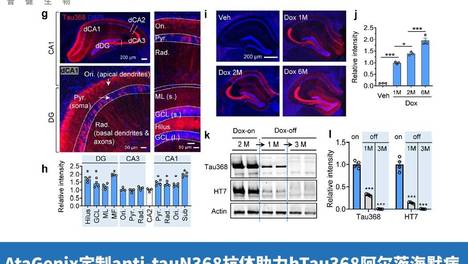
AtaGenix定制anti-tauN368抗体助力hTau368阿尔茨海默病模型研究,揭示截短tau病理机制
阿尔茨海默病(AD)的病理核心是神经元内tau蛋白异常积累与磷酸化。近期研究发现,截短tau片段(如N1-368)在AD脑中显著增加,促进了神经退行性病变的进展。为此,研究者构建了可诱导表达截短人源tau N1-368的hTau368转基因小鼠模型,成功模拟了AD样的tau积累
2025.11.07
·
255阅读
·
0评论
加载中
AtaGenix特异性磷酸化抗体定制服务助力揭示G蛋白调控番茄生长的新机制
研究揭示GGC1通过抑制CPK28介导的PIP1;2 Thr172磷酸化负向调控植物生长与光合作用。AtaGenix定制的特异性磷酸化抗体为该信号通路的发现提供了关键实验支持。
2025.11.06
·
52阅读
·
0评论
加载中
AtaGenix专业蛋白表达与抗体定制服务,助力草鱼C5a-CP佐剂研究
草鱼补体C5a C端肽(C5a-CP)作为鱼类疫苗佐剂展现出巨大潜力,可显著增强草鱼IgM⁺B细胞的吞噬活性及疫苗免疫保护效果(RPS达96.03%)。针对研究需求,我们提供一站式蛋白表达与抗体定制服务,通过优化大肠杆菌系统表达草鱼IgM重链恒定区(IgM-CH),并采用
2025.11.05
·
22阅读
·
0评论
加载中
AtaGenix 提供定制gB和gB H516F蛋白表达服务,助力中国医学科学院HSV-1疫苗研究
2025年,中国医学科学院(昆明)在《Vaccine》期刊发表研究(DOI: 10.1016/j.vaccine.2025.127241),探讨了HSV-1融合糖蛋白B(gB)及其H516P突变体在mRNA和亚单位疫苗中的免疫原性。研究表明,gB与gB H516P免疫原性无显著差异,QS-21和CpG ODNs佐剂的亚单位
2025.11.04
·
25阅读
·
0评论
加载中
AtaGenix为海军军医大学脓毒症研究提供定制RMP和IKKβ蛋白表达服务
海军军医大学2025年发表在《Cell Communication and Signaling》的一项研究(DOI: 10.1186/s12964-025-02278-w)揭示,RNA聚合酶II亚单位5介导蛋白(RMP)通过结合IκB激酶β(IKKβ)并招募蛋白磷酸酶2A(PP2A),抑制TLR4诱导的NF-κB信号通路,调控巨噬细
2025.11.03
·
47阅读
·
0评论
加载中
AtaGenix普健生物
55.4万+
阅读
1162
内容
27
订阅
18
获赞
+订阅
普健生物(武汉)科技有限公司于2012年在武汉成立,作为武汉国家生物产业基地指定的光谷抗体发现与筛选公共服务平台,专注于重组蛋白、抗体、诊断原料、抗体药物发现等自主技术平台的建设和下游生物医药产品的战略合作。
注册信息
分享作者至
24小时热文
更多
U23亚洲杯-小仓幸成2球 U23国足0-4日本获亚军
谷爱凌回应再次代表中国参加冬奥会:并非出于经济因素
特朗普承认美国在委内瑞拉使用秘密武器,俄罗斯称将调查搜集相关信息
海南省人大常委会同意,对蔡晓辉采取强制措施
多地合并退役军人事务局,释放了什么信号
国防部新闻发言人蒋斌就近期涉军问题发布消息
支付中心
- 搜狐招聘
- 广告服务
- 联系方式
- About SOHU
- 公司介绍
- 隐私政策
Copyright © 2026 Sohu All Rights Reserved. 搜狐公司 版权所有